I suspect that some people decided to delay watching Michaela Coel’s HBO/BBC One series I May Destroy You for fear that it would, well, destroy them. I did. Many of us choose to forego media that represents sexual violence.
Megan Baldridge, MD, PhD, assistant professor of medicine at Washington University School of Medicine in St. Louis, has been named an Investigator in the Pathogenesis of Infectious Diseases by the Burroughs Wellcome Fund.
Haijun Liu, research scientist in chemistry in Arts & Sciences, received a $450,000 award from the U.S. Department of Energy to support study of the molecular mechanism of action of the cyanobacterial orange carotenoid protein.
If Justice Ginsburg, who had the most secular voting record of any justice since 1953, is replaced with a religious conservative like Justices Kavanaugh, Gorsuch or Thomas, the court’s jurisprudence will veer even farther from the values she brought to the law.
President Donald Trump’s top picks to replace Ruth Bader Ginsburg on the Supreme Court — Judges Amy Coney Barrett and Barbara Lagoa — would fall ideologically somewhere between Justices Neil Gorsuch and Samuel Alito, shifting the median of court far to the right, suggests a new analysis by Supreme Court experts at Washington University in St. Louis.
Do I worry about the worsening mental health of my patients and friends, as well as its effect on me? Yes. Has the timeline to prepare myself to better cope with that sped up? Yes. But I want them to know I will remain here, in their corner, ready to support them if and when they need me.
A new study involving Washington University in St. Louis researchers finds consumers across the United States and in some European countries are ready to start paying for climate action now.
Daniel Epps, associate professor in the School of Law at Washington University in St. Louis, and Steven Smith, Kate M. Gregg Distinguished Professor of Social Science, weigh in on who has the most to lose before the election if a nomination is completed, how this situation differs from the Senate-stalled Merrick Garland nomination in 2016 and why the nomination system needs to change.
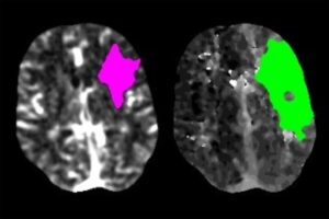
Jiayi Huang, MD, has been named chief of the central nervous system (CNS)/Gamma Knife service, a form of radiation surgery that can eliminate brain tumors, at the School of Medicine.
It looks the same, yet the 169-acre campus feels a bit different this fall. As students return, a by-the-numbers look at what has been done to make the campus as safe as possible for returning students, faculty and staff.