They said it couldn’t be done. Suresh Vedantham, MD, professor of radiology and surgery, was planning a nationwide trial comparing treatments for deep vein thromboses — dangerous blood clots in the legs’ major veins. Prior attempts had failed to meet recruitment goals, but Vedantham was eager to test a new approach. Four years later, recruitment for ATTRACT (Acute Venous Thrombosis: Thrombus Removal with Adjunctive Catheter-Directed Thrombolysis), his NIH-sponsored trial, has crossed the halfway mark.
Some 900 students have signed up to dance all night in the 14th annual St. Louis Area Dance Marathon. The 12-hour event begins at 2 p.m. Saturday, Nov. 3, in the Athletic Complex Field House, and lasts until 2 a.m. the next day. Faculty and staff are encouraged to take part, too, with Chancellor Mark S. Wrighton donating $14 for every employee who attends the reception. Proceeds benefit Children’s Miracle Network Hospitals of Greater St. Louis.
In The Anchorage, his debut collection, poet Mark Wunderlich creates a central metaphor of the body as anchor for the soul, in poems located in New York’s summer streets, in the barren snowfields of Wisconsin, and along stretches of Cape Cod’s open shoreline. On Thursday, Oct. 25, Wunderlich will read from his work for The Writing Program in Arts & Sciences.
Evolutionary biologist David C. Queller, PhD, was installed Oct. 16 as the Spencer T. Olin Professor of Biology in Arts & Sciences in a ceremony in Holmes Lounge.
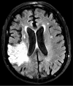
A process developed to increase efficiency and
productivity in Japanese car factories has helped improve stroke
treatment at Barnes-Jewish Hospital, report researchers at Washington
University School of Medicine in St. Louis.
Panos Kouvelis, PhD, senior associate dean and director of executive programs at Olin Business School and an expert in the field of supply chain management, has been named to the U.S. Commerce Department’s new Advisory Committee on Supply Chain Competitiveness.
WUSTL volunteers painted bleachers at University City High School Oct. 13, as part of Service First. Through this annual community service event, organizers work with principals of KIPP: Inspire Academy, St. Louis and University City public schools to identify needs.
Cyrano is smart, courageous and noble, a brilliant poet and skilled swordsman. He is utterly besotted with the beautiful Roxanne. But oh, that nose! On Friday, the Aquila Theatre Company — today’s leading producer of touring classical theater — will return to Edison with Cyrano de Bergerac, Edmond Rostand’s funny, poignant and often heart-wrenching tale of unrequited love. On Saturday, Aquila will retake the stage with Taming of the Shrew, Shakespeare’s timeless battle of the sexes.
Washington University School of Medicine in St. Louis will host a half-day seminar on forms of dementia that strike suddenly and can kill an individual in a few weeks or months.
Junior Yoni Barlev “rented” Max during Chi Omega sorority’s recent fundraiser for the Make-A-Wish Foundation. The sorority raised nearly $600 by renting dogs for 15-minute stints. More than 100 people rented the eight pets volunteered by faculty and staff. Make-A-Wish Foundation is the sorority’s nationally designated charity.