New study examines disparities in Medicaid spending on children in the welfare system

In the new health-care climate of the Affordable Care Act and efforts to expand Medicaid to accommodate more individuals and children, the need to closely examine ways to best use government funding is becoming increasingly evident. A new study from the Brown School examines racial and ethnic differences in Medicaid expenditures for children in the welfare system who use psychotropic drugs.

WUSTL team wins People’s Choice Award at 2014 Rube Goldberg

The Green Machine designed by undergraduates at Washington University in St. Louis won the People’s Choice, second place and Best Single Step awards at the 2014 Rube Goldberg Machine Contest. The national competition was held at the Center of Science and Industry in Columbus, Ohio, earlier in April. Several of the students were also on the team that won first place last year.

Science of learning book offers tips to ‘Make it Stick’

“Make it Stick: The Science of Successful Learning” offers students of all ages a clear and compelling primer on the best and worst ways to store and retrieve new knowledge. The book is co-authored by psychologists Henry L. “Roddy” Roediger III and Mark A. McDaniel, leading experts on human learning and memory at Washington University in St. Louis, along with nonfiction writer and novelist Peter C. Brown. 

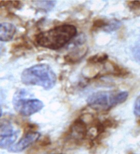
New center aims to use immune system to fight cancer, other diseases

Scientists
A new center at the School of Medicine will help scientists use the power of the immune system to fight infections and cancers. The Center for Human Immunology and Immunotherapy Programs is part of BioMed21, Washington University’s initiative to accelerate basic science discoveries into improved diagnosis and treatment for patients.

Gereau named Brown professor of anesthesiology

Robert W. Gereau IV, PhD, has been named the Dr. Seymour and Rose T. Brown Professor of Anesthesiology at the School of Medicine. He studies the molecular mechanisms involved in pain sensation, and his research includes optogenetics, which uses light signals to activate or deactivate nerve cells responsible for transmitting pain signals to the brain.

More questions than answers as mystery of domestication deepens

A recent interdisciplinary conference that led to the publication of a special issue of PNAS on domestication raised more questions than it answered. Washington University in St. Louis scientists Fiona Marshall and Ken Olsen, who participated in the conference and contributed to the special issue, discuss some of the key questions that have been raised about this pivotal event in human history.

Recognizing Outstanding Faculty Mentors

Fiona Marshall, PhD, professor of archaeology in Arts & Sciences, was one of seven faculty members to receive the Graduate Student Senate’s Outstanding Faculty Mentor Award during an April 9 ceremony in the Women’s Building Formal Lounge.

Mr. Wash. U. raises $21,000 for City Faces

The annual Mr. Wash. U. event at Edison Theatre was held April 17. It supports City Faces, which provides art classes to children and young adults living in St. Louis public housing. The charity was founded by Bob Hansman, associate professor of architecture and urban design at the Sam Fox School of Design & Visual Arts at Washington University in St. Louis.