The Record
Wednesday, Jan. 21, 2026
Top stories
Reviving antibiotics with two-faced nanoparticles
A team led by chemist Yan Yu, in Arts & Sciences and the McKelvey School of Engineering, developed a double-pronged approach to fighting antibiotic resistance. The study was reported in Nano Letters.
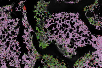
Inflammatory cells predict survival, relapse in multiple myeloma
Researchers at WashU Medicine and their collaborators have created an immune cell atlas of multiple myeloma, a cancer of the bone marrow. The new resource could improve prognosis and guide development of new immunotherapies.
Brown School to fund practicums, stipends for social work students
The Brown School will fully fund practicum internships and provide living stipends to students in its Master of Social Work program beginning in the fall, announced Dean Dorian Traube.
Board grants faculty appointments, tenure
At the WashU Board of Trustees meeting in December, numerous faculty members from various schools were appointed, promoted or granted tenure.
|
Events
|
JAN 21 |
Medical Campus MLK Jr. Week keynote speaker: Hasan Jeffries4–6 p.m. Wednesday, Jan. 21 |
|
JAN 21 |
Civic Café: Journalists’ role in shaping public conversation5:30–7 p.m. Wednesday, Jan. 21 |
|
JAN 23 |
WashU basketball teams take on New York University5:30 p.m. Friday, Jan. 23 |
WashU in the News
Judge to weigh next steps in student activist deportations case
the new york times
Doctors reveal why this year’s flu feels worse — and what you can do to avoid it
huffpost
Pull on your skinny jeans, shake your bangs in your eyes and head to this emo conference
st. louis public radio
When squirrels meet the Delmar Divide
biographic
Campus and community news
Ron Himes, the Henry E. Hampton Jr. Artist-in-Residence in Arts & Sciences and founder of the St. Louis Black Repertory Company, has won a Lifetime Achievement Award from New York theater group AUDELCO.
Samuel Klein, MD, the William H. Danforth Professor of Medicine and Nutritional Science at WashU Medicine, has received the Endocrine Society’s Outstanding Clinical Investigator Award.
Applications sought for Neuroprep Scholars program
Recent graduates, and undergraduate students who are close to graduating, can apply to be part of a two-year post-baccalaureate neuroscience program at WashU. Applications are due by March 9.
Perspectives
‘Refugee families are more likely to become self-reliant if provided with support outside of camp settings’
Lindsay Stark and Ilana Seff, at the WashU School of Public Health, write an article about their research into what’s most effective at helping refugees become independent.
the conversation
In memoriam
Ella Johnson, senior in Arts & Sciences, 21
Senior Ella Elizabeth Johnson of Belmont, Mass., died Jan. 14 after a difficult struggle with mental health challenges. Johnson, 21, was studying psychological and brain sciences and Spanish in Arts & Sciences.
